Détecter le cancer du sein bien avant qu’il ne se développe, c’est désormais possible grâce à un nouveau modèle d’intelligence artificielle. Développé par des experts en technologie médicale et validé à l’échelle internationale, ce système, baptisé Mirai, pourrait bien révolutionner le dépistage précoce du cancer et améliorer significativement les chances de survie de milliers de femmes.
Un modèle de prédiction révolutionnaire
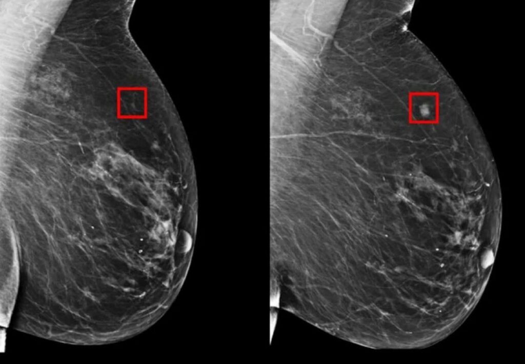
Chaque année, des millions de mammographies sont réalisées dans le monde, mais les protocoles actuels ne sont pas parfaits. Certains cancers passent sous le radar tandis que d’autres tests, parfois trop fréquents, engendrent des faux positifs, créant anxiété et coûts supplémentaires. C’est ici qu’intervient Mirai, un modèle de deep learning conçu pour optimiser la prédiction des risques de cancer du sein. En analysant des images mammographiques et des facteurs de risque potentiellement absents, Mirai peut fournir des prédictions précises sur plusieurs années (jusqu’à cinq ans).
Conçu par une équipe de chercheurs du MIT et validé par des tests sur des données de l’hôpital général du Massachusetts (MGH), de l’hôpital Karolinska en Suède et de l’hôpital Chang Gung Memorial à Taïwan, ce modèle a montré une capacité unique à fonctionner efficacement sur des systèmes de mammographie variés, en s’adaptant aux différences d’appareils et aux données manquantes. Un atout crucial dans les contextes cliniques où chaque variable compte.
Des résultats convaincants
Le succès de Mirai repose sur des résultats impressionnants. Comparé à des modèles plus anciens tels que Tyrer-Cuzick, Mirai a démontré une performance nettement supérieure, avec des AUC (Area Under Curve) atteignant jusqu’à 0,81, contre des scores bien inférieurs pour les concurrents. Cela signifie qu’il identifie avec plus de précision les patientes à haut risque, permettant ainsi une détection précoce des cas de cancer et, potentiellement, une réduction des décès.
Sur un échantillon de patientes du MGH, 41,5% de celles qui développeront un cancer dans les cinq ans ont été correctement identifiées comme étant à risque, contre seulement 22,9% pour le modèle Tyrer-Cuzick. Une amélioration significative qui pourrait transformer la manière dont les programmes de dépistage du cancer sont réalisés dans le monde.
En outre, la capacité de Mirai à fonctionner sur différents appareils de mammographie, sans perte de précision, le distingue de ses concurrents. Grâce à un apprentissage conditionnel adversarial, il peut fournir des évaluations cohérentes, peu importe la machine utilisée, garantissant une adoption plus fluide dans les centres de santé du monde entier.
Si cet article vous a plu et si vous envisagez une carrière dans la Data Science ou tout simplement une montée en compétences dans votre domaine, n’hésitez pas à découvrir nos offres de formations ou nos articles de blog sur DataScientest.
Source : science.org



